9/11 HEALTH REPORT - Published by Awareness for a Cure & the NY Cancer Resource Alliance

 

Innovative New Cancer Detection from A "SIMPLE BLOOD TEST"
Recently, a new form of blood test called IvyGene can confirm the presence of cancer as early as stage 1 by providing measurable data in the form of a score to make it easier to understand- while confirming the presence of cancer early, when it can be more easily managed and treated. "...our mission is to make cancer testing available and affordable for everyone. We work closely with thousands of physicians nationwide to provide early cancer confirmation and save lives sooner. Unlike many genetic tests that use DNA to determine the propensity or possibility of developing cancer over time, the IvyGene test confirms actual disease presence at the time of testing." (see complete article)

SPECIAL VIDEO: Cancer Detection for Firefighters using Genetic/Blood Testing
The Beford Fire Dept is among the growing list of fire departments across the U.S. that are now pursuing advanced cancer detection protocols due to the job-related risk and elevated exposure to hazardous materials linked to cancers. (see video)

   

The WTC Attacks are Still Going On with New Wave of Asbestos Based Cancers
In recent news, they're talking more and more about asbestos and asbestos-related cancers due to 9/11 exposure because when the Twin Towers collapsed, all the asbestos that was in those buildings for insulation was aerosolized. And when you breathe that stuff in, in small particles that have been micronized from the explosion and compression phenomena, when those particles get lodged in the lungs, the body doesn't have a good way to excrete it. (See Full Article @ 9/11 Health Report)
   

"Surviving the Legal Red Tape of WTC Victims"- Interview with Michael Barasch
"There's a real danger because while the Heath Program was reauthorized for 70 years, the Victim Compensation Fund was only re-authorized for five years, and it's going to expire at the end of 2020. Well, guess what? The doctors tell me and I'm seeing it in my office, people continue to get sick, to get cancers, and to die at alarming rates. It's truly heartbreaking. This will no doubt continue." (See full article)
   

Richard Marrone & the 9/11 Cancer Resource Group
Richard Marrone is a career veteran with the NY Fire Department, an active FDNY Paramedic trainer and a first responder at 9/11-- his interest and personal insight to the concerns of ALL responders led to deeper exchange with the cancer imaging directors and soon became the establishment of a major public health outreach project and support network called the 911CancerScan program. (See Full Article)

Extra: It All Starts with GETTING CERTIFIED
(free link to application details & forms to register with the WTC Health Program). Out of the tens of thousands of first responders and volunteers affected by 9/11 illnesses, there are still so many who may have neglected the process to being certified with the WTC Health program. While the heath program was reauthorized for 70 years, the Victim Compensation Fund (VCF) was only re-authorized for five years, and it's going to expire at the end of 2020.
"9/11 KILLER DUST"- Concerns from a First Responder
A major concern is the second-hand contaminants that may have affected the forgotten people in all this; the family members that the responders came home to. Think about carrying the dust from our clothes, our uniforms, our bodies- home to our families. My wife never spent time in Manhattan but I brought it all home to HER. How many other wives and husbands and people associated with rescue workers have come down with an illness due to 9/11 and never once stepped foot down at 9/11? DUST gets everywhere and situations like this are how a disease travels. (See Full Article)
 

John Feal- WTC Crusader for First Responders
John Feal was a 9/11 responder - called by one of the largest contracting firms to perform cleanup starting on 9/12. He spent a total of five days on site but his commitment was cut short on the 17th when 8,000 pounds of a steel beam crushed his left foot. Mr. Feal’s will to take part in his community did not end with his injury. In fact, many considered it to be a remarkable kick-starter of his passion (what he calls his “kryptonite”) to launch his public pursuits to do so much more for so many others. (See Full Article)
 

Types of Cancers from WTC Disaster - an Overview Dr. Jesse A. Stoff
For people who have been exposed to the fallout (as lethal as radioactive fallout) and the dust from the 911 catastrophe, we're seeing not just these kinds of cancers but many other cases that are considered to be rare in prior groups. These rare cancers are delineated on the CDC website and are occurring, undoubtedly, because of the mixture of toxins that people have been exposed to. The volume of these toxins are absorbed into their bodies since 9/11 (while working with the clean-up efforts) and can't get rid of them. (See Full Article)
 

A 9/11 Cancer Survivor Story By: Lisa Vento-Nielsen
During the 2001 attacks, I was working downtown at Standard & Poor's and exposure to the toxic dust and air particles are thought to be how I wound up with breast cancer despite no family history of cancer, no risk factors and no genetic component. I am now living as a cancer survivor and someone who has asthma and other respiratory issues. My husband was an NYPD sergeant, a first responder at 9/11 and is certified with the WTC monitoring program. The ironic thing is that he has been monitored for years and we expected him to get sick but instead it was I that got cancer. I was not originally signed up to be part of the program, though I should have been since I am a survivor of the event. (See Full Article)
 

An Upgrade in Post-9/11 First Responders Cancer Screening
Written by: Dr. Jesse A. Stoff
There are breakthroughs in the field of medicine that are helping with this fight. New technologies are coming down the road over the next few months that will increase the range of cancers that we can test for as an early warning. There are tests for looking at the structure and function of the immune system to serve as an early warning about the increased risk of developing any kind of cancer if a person's health is compromised.(See Full Article)
 

 
Modern Cancer Solutions To Post-9/11 Responder Cases
Extra: It All Starts from the Lungs
Written by: Editorial Staff
Since January of 2015, the American Society of Clinical Oncology (ASCO) and The Society of Immunotherapy of Cancer (SITC) had their first joint conference in Orlando Florida where ASCO president Dr. Bruce E. Johnson publicly stated, “the future of oncology care is through immunotherapy.” Dr. Jesse Stoff recognized this as the tipping point for the medical community to welcome more cancer treatment options and the integrative philosophy. (See Full Article)
 

   
Copyright 2018- Awareness for a Cure and NYCRA (NY Cancer Resource Alliance). All Rights Reserved.
 

CANCERS FOUND IN 9/11 EXPOSURE (source: CDC.GOV)

Diffuse non-Hodgkin lymphoma
Burkitt's tumor
Diffuse non-Hodgkin lymphoma
lmmunoblastic (diffuse)
Large cell (diffuse)
Lymphoblastic (diffuse)
Mixed small and large cell (diffuse)
Follicular (nodular) non-Hodgkin lymphoma
Follicular non-Hodgkins
lymphoma, unspecified
Large cell, follicular
Mixed small cleaved and large cell, follicular
Small cleaved cell, follicular
Hodgkin's disease
Hodgkin's disease, unspecified
Lymphocytic depletion
Lymphocytic predominance
Mixed cellularity
Nodular sclerosis
Other Hodgkin's disease
Chronic leukemia
Subacute leukemia
Lymphoid leukemia
Acute lymphoblastic leukemia
Adult T-cell leukemia
Chronic lymphocytic leukemia
Hairy-cell leukemia
Lymphoid leukemia, unspecified
Other lymphoid leukemia
Prolymphocytic leukemia
Subacute lymphocytic leukemia
Malignant immunoproliferative diseases
Alpha heavy chain disease
Gamma heavy chain disease
lmmunoproliferative small intestinal disease
Malignant immunoproliferative disease, unspecified
Other malignant immunoproliferative diseases
Waldenstrom's macroglobulinemia
Monocytic leukemia
Acute monocytic leukemia
Chronic monocytic leukemia
Monocytic leukemia, unspecified
Other monocytic leukemia
Subacute monocytic leukemia
Multiple myeloma and malignant plasma cell neoplasms
Multiple myeloma
Plasma cell leukemia
Plasmacytoma, extramedullary
Myeloid leukemia
Acute myeloid leukemia
Acute myelomonocytic leukemia
Acute promyelocytic leukemia
Chronic myeloid leukemia
Myeloid leukemia, other
Myeloid leukemia, unspecified
Myeloid sarcoma
Subacute myeloid leukemia

Letterer-Siwe disease
Lymphoid, hematopoietic and related tissue, other specified
Lymphoid, hematopoietic and related tissue, unspecified
Malignant histiocytosis
Malignant mast cell tumor
True histiocytic lymphoma
Ascending colon
Caecum
Colon, unspecified
Descending colon
Hepatic flexure
Overlapping lesion of colon
Sigmoid colon
Splenic flexure
Transverse colon
Angiosarcoma of liver
Hepatoblastoma
Intrahepatic bile duct carcinoma
Liver, unspecified
Liver cell carcinoma
Other sarcomas of liver
Other specified carcinomas of liver
Body Cardia
Fundus
Greater curvature, unspecified
Lesser curvature, unspecified
Overlapping lesion
Pyloric antrum
Pylorus
Stomach, unspecified
Bronchus or lung, unspecified
Lower lobe, bronchus or lung
Main bronchus
Middle lobe, bronchus or lung
Overlapping lesion
Upper lobe, bronchus or lung

There's a lot more: please visit CDC.GOV website for the full list.

 

THE 911CANCERSCAN PROGRAM -
provides diagnostic options targeting the most common health issues recorded from 9/11 exposure. Use of advanced sonogram technology out-performs MRI’s, X-Rays and CT-Scans and is a safe, non-invasive and radiation-free option to accurately gather real-time images of the inside of the body. It is used to find anomalies and help diagnose any injuries, tumors, cysts and infection while allowing the diagnostician the ability to zoom and ‘travel’ deep into the body for maximum exploration.

SCAN 1: For all new patients, it is recommended to start with a diagnostic imaging exam of the patient’s LUNGS, BLADDER, THYROID and LIVER to seek out any significant cysts and tumors. These are the more common organs that would show any telltale signs of any further issues in the body.

PROSTATE: The CDC has recorded Prostate Cancer as the second largest number of cancer cases in first responders. We offer a comprehensive prostate scan using advanced doppler technology to monitor and identify any cancerous issues that may pre-exist.

ADVANCED LUNG STUDY: Airborne toxins and carcinogens make their way throughout the body starting with the lungs. A more in-depth look at this area helps us identify any infections past or present from scarring or early stages of growths in the nearby airways. This can also be used as a preventative or early-detection procedure for possible future cases of Lung Cancer.

FULL SKIN DIAGNOSTICS: The CDC rated non-melanoma skin cancer (NMSC) as the most common tumor in 9/11 cases. Skin cancer rates are continuing to rise and the most deadly form (melanoma) may be ruled out by 3D Doppler histogram imaging and advanced optical diagnostics.


PREVENTION & DETECTION PROGRAM:
POST-9/11 CANCER DIAGNOSTICS PROGRAM FOR FIRST RESPONDERS & SURVIVORS

Reports are showing thousands of new and aggressive cancer claims 15 years after the 9/11 attacks. By June, 2016, the Centers for Disease Control and the WTC Health Program enrolled more than 5,400 people who have been diagnosed with cancer within a two-year period (4,692 were first responders, recovery and cleanup workers and volunteers). Experts state that cancers from "burning asbestos and the entire toxic cauldron of Ground Zero" carries a latency period of 15-20 years after exposure, and a major spike in advanced cancer cases is expected within the next 10 years.

Where prior diagnoses may not identify dormant strains, this program is attuned to search for and recognize markers from a thorough and comprehensive review with the use of advanced Histogram Analysis technology. Dr. Bard's program is also available for pinpointing a more accurate 'second view' of the behavior of pre-existing 9/11-related cancer cases (thyroid, kidney, prostate, lung, pancreatic, leukemia & multiple myeloma, etc.) and can recommend solutions that may confirm or invalidate prior reviews. Also, the BCD program is designed to providing a detailed analysis of many tumors, cysts or premalignant lesions that is complementary to most recognized biopsy reports without the invasive surgical procedure!

Another effective "weapon" in the battle against this epidemic is the Bard Cancer Diagnostic Program: From Advanced Cancer Scanning to the Non-Invasive "Digital Biopsy". Once the patient has been certified (and validated) by the WTC Health Program, individuals suffering from 9/11 related illnesses can receive VCF Compensation and reimbursements for their medical treatment. Patients now have their own choice of health professionals and the option to pursue recently available advanced medical care.

Dr. Robert Bard, expert Cancer diagnostician and the Northeast’s expert in 4D Doppler Imaging has developed the POST 9/11 CANCER DIAGNOSTICS PROGRAM. His NYC-based facilities (Bard Cancer Diagnostic Imaging) are equipped with only the most advanced state-of-the-art technologies that often out-performs higher-priced MRI’s, CT-Scan’s and X-Rays while promising to deliver more affordable and accurate reports in REAL-TIME from a process that's ready in MINUTES. BCD is prepared to provide any 9/11 first responder or survivor with advanced cancer screenings to search for impending cancers. Pre-cancerous symptoms that may arise as per the rising reported numbers of post-9/11 cancer cases are evaluated quickly, accurately and painlessly.

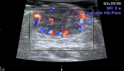
9/11 NECK CANCER CASE
With the aid of 4D Doppler Technology, Dr. Bard can identify, detect and analyze many tumors from pre-malignant areas to advanced cancerous cases. The regular sonogram shows a malignant disorder (top) while the 4D scan (bottom) displays a mass filled with cancerous arteries and veins meaning this is highly aggressive requiring immediate attention.


9/11 MESOTHELIOMA CASE
Exposure to toxins may produce cancers in many organs. This patients chronic cough prompted a chest sonogram showing a pulmonary tumor that had produced malignant fluid partially collapsing the breathing volume but had not yet metastasized below the diaphragm. The liver, an early target of cancer seeding, was clearly seen to be untouched in the same sonogram study simply by moving the probe from the chest wall to the abdomen sparing our patient from extra testing and mental stress over the possible spread of disease.


9/11 CANCER SCARE-SAME PATIENT 6 MONTHS AFTER TREATMENT
Our mesothelioma patient (pictured above) had a minor injury and noticed a new lump under the small bruise. A 5 minute scan showed the discoloration was caused by minor blood vessel damage due to the underlying BENIGN fatty tumor.  Cysts and other non-malignant disorders can be distinguished from metastatic lymph nodes (glands) providing “real-time” relief of anxiety of cancer recurrence.


Using Advanced Digital Tech to Battle "Sneaky" Cancers

I personally met James Zadroga in 1992 at a public event. The name did not impact me until way past his untimely demise on 2006. Having connected with John Feal of the FealGood Foundation, we put all the pieces together as far as the extensive yet never-ending work that still has yet to be done to bring much needed support, compensation and political awareness to help the many survivors and affected rescuers of the 9/11 disaster. The Zadroga Compensation Act was established (2011) by a group of D.C. advocates who drove legislation to ensure that those exposed to the 9/11 disaster continue to receive monitoring and treatment services for 9/11-related health problems through at least until 2090.

A decade or so later, news broke of unique and advanced cases of CANCER arising in droves. The same individuals exposed to the toxic fumes and plumes of hazardous particles in the danger zone contracted aggressive cases of CANCER and were in immediate demand for medical care and desperate need of emotional support. My practice was no stranger to this dilemma as I began diagnosing cancer tumors in the lung, liver, kidney, brain, skin and eye probably related to 9/11 exposure.

My practice, BARD CANCER DIAGNOSTIC IMAGING (NYC) has isolated and scanned countless cases of cancers using the most advanced diagnostic imaging technologies worldwide. We provide early detection and real-time "digital biopsies" of many tumor types using 4D Doppler innovations bringing accuracy and expediency to the comprehensive report- within MINUTES. For our patients, this is a priceless advantage that cuts down the wait time, decreases travel (to multiple diagnostic centers) and reduces the insurmountable level of stress and intolerable problems of today’s increasing medical bureaucracy. Our technology outperforms the advantages of MRI, X-ray and CT scans by 20-to-1. We have an uncompromising system that’s unique to the health care profession whereby our combined experience and technical advancements are called upon by many university hospitals and private practices today. My services were recently utilized during the terror attack in Nice by the truck driver who mowed down innocent civilians on the French Riviera where-x-ray and CT services were overwhelmed (I am a current member of the French Radiology Society-Societe Francaise de Radiologie since 1999)


  MPR-TV reports on Advanced Cancer Doppler Imaging. Meet Dr. Robert L. Bard (award-winning cancer diagnostician and expert imaging specialist). Get the facts about the many new 9/11 Cancer Cases 18 years since the terror attacks- and how we are waging a new war with advanced technology like the use of 3D/4D Doppler Histogram Scans.
 

To compare the performance of the 4D ULTRASOUND SONOGRAM over MRI, XRAY and CT SCAN, this  comprehensive chart identifies the clear advantages of physician directed imaging and targeted diagnosis as compared with the routine radiographic tests. Specifically, a patient puts his finger on the lump or points out the area of pain to the sonogram specialist who then focuses on the region of concern.  The investigating physician will demonstrate the problem on the scan to the patient and ensure that both are in agreement that the primary disorder is in the cross-hairs of the 3D scan.  As the 4D (real-time 3D) is proceeding the diagnostic possibilities are discussed and alternative diagnostic imaging are mentioned. Diagnostic sonography is the FIRST EXAM used worldwide because it is the least invasive for the best solution to a patient’s problem. Since the test is interactive and performed in real-time, for example, we have the patient with the ankle “sprain” move the foot and see  the injured tendon separate further as it is stretched voluntarily confirming the diagnosis of a complete tear. Fractures underlying ligament trauma are concurrently detected.  For many trauma cases this technology determines whether our patient needs an ice pack for pain or a scalpel to repair the tendon rupture.  Similarly, with cancer patients, aggression can be determined and graphically seen by the patient within minutes.  Extent of disease can be staged quickly and treatment plans started immediately.  Patients, fearing the worst, are de-stressed somewhat by bad news delivered immediately with therapeutic options simultaneously provided.

If you may have been recently diagnosed or have realistic concerns about 9/11-related cancers, contact us immediately at 212.355.7017. We are available to discuss your options and work with your physician on the many ways that our advanced 4D Digital Diagnostic System for post 9/11 trauma or cancer cases can help you. We are ready to work with the current compensation benefits fund to get you the best noninvasive diagnostic testing and minimally invasive treatments available.

 
Proud partners & supporters: